35岁建筑工人毕先生(化姓)
深夜突发脑干出血昏迷
竟因长期忽视高血压
突发昏迷:
毫无征兆的“致命打击”
事发当晚10点多
毕先生的房东发现他倒卧在房间内
便随即拨打急救电话
紧急送至中山市第六人民医院急诊科
入院检查发现脑中风
中山市第六人民医院马上开通绿色通道
将患者转入ICU抢救

更令人唏嘘的是,尽管患者此前已有高血压病史,但由于工作繁忙、自我健康管理意识薄弱,长期未规律服药,也未定期监测血压。
毫米级精准手术:
“小切口”清除致命血肿
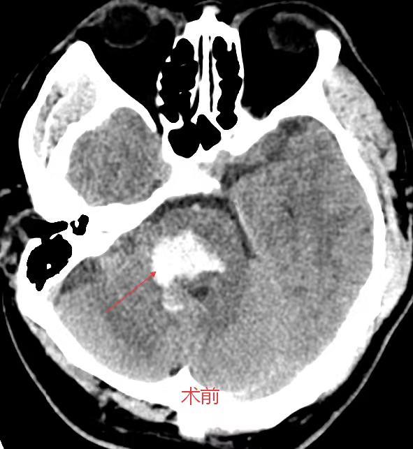
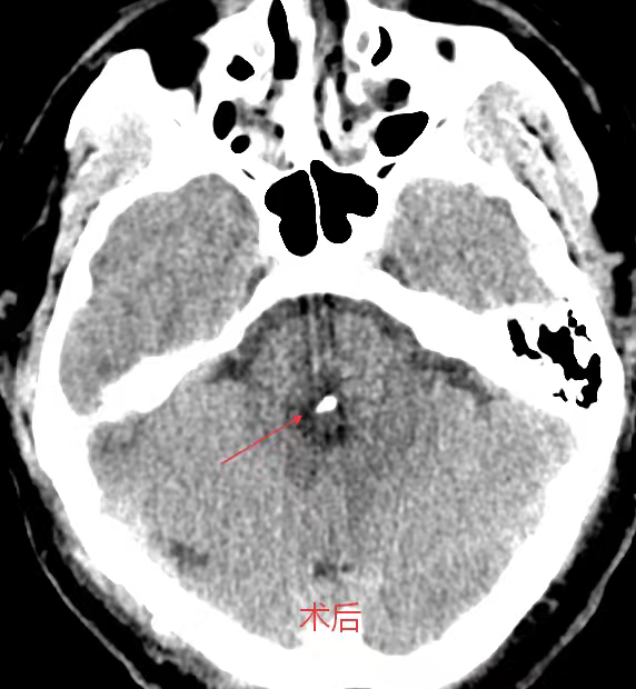
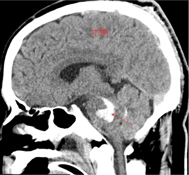
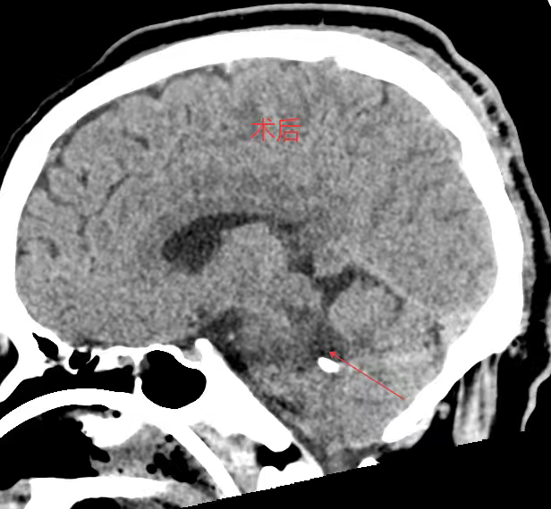
考虑到患者年轻、基础状况尚可,且出血部位深、传统开颅手术创伤大、风险高,医生团队决定采用脑立体定向仪引导下的微创穿刺血肿碎吸术。
主刀医生龙青山介绍,“我们利用立体定向系统,将穿刺误差控制在2毫米以内,仅需一个约3厘米的小切口,通过直径不足1厘米的骨孔置入穿刺管,直接进入血肿腔。”
手术过程历时一个多小时
共抽出近8毫升血块
术后复查显示
血肿清除率接近100%


术前

术后

术前

术后
术后第四天,患者即恢复自主呼吸,撤除呼吸机,标志着生命体征趋于稳定。目前,患者已转至普通病房,意识逐步恢复。
年轻化趋势敲响警钟:
这些习惯正在“引爆”脑出血
近年来,青年脑卒中病例频发。龙青山透露,仅过去两个月,科室就接诊了3例40岁以下的脑中风患者。
医生提醒
广大市民应每年至少进行一次全面体检,关注血压、血脂、血糖;确诊高血压务必遵医嘱服药,不可擅自停药;保持规律作息,避免过度劳累。
若出现剧烈头痛、呕吐、肢体无力、言语不清等症状,立即就医。
◆编辑:吴玉珍◆二审:郑沛锋◆三审:周亚平




