2026年1月29日,甘肃省第三人民医院顺利完成一例高风险复杂病例手术。当日,兰州迎来今冬第一场降雪。在寒冷天气背景下,医院医疗工作有序推进。
本例手术由钟林堃博士主刀完成。钟林堃博士为中共党员、副主任医师,是中山市重点引进和培养的医疗骨干人才,此前长期在中山市人民医院从事临床一线工,也是中组部、团中央第26批博士服务团成员,目前在甘肃省第三人民医院开展医疗及相关管理工作。
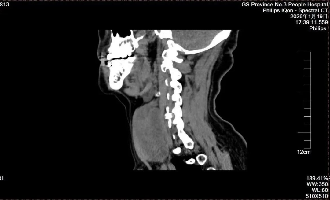
病情复杂:肿物巨大,合并多种基础疾病
患者为60余岁老年女性,颈部肿物病史较长,曾在多家医疗机构就诊。随着病程进展,肿物持续增大,直径约7厘米,体积较大,局部解剖关系复杂,手术难度和风险明显增加。
同时,患者合并高血压并有既往脑梗死病史,属于多系统疾病叠加的高风险人群,对围术期评估、麻醉管理及手术安全提出了更高要求。

多学科协作:术前充分评估,科学制定方案
患者入院后,医院高度重视,迅速组织相关科室开展多学科诊疗(MDT)讨论。钟林堃博士与多学科团队成员围绕患者心脑血管风险、代谢状况、麻醉耐受性及围术期管理等关键问题进行了系统评估。
在充分论证的基础上,医疗团队为患者制定了个体化、规范化的诊疗方案,并提前完善相关应急预案,为手术安全实施奠定了坚实基础。
手术顺利完成:围术期管理规范
手术当日,在多科室密切配合下,由钟林堃博士主刀的手术过程平稳顺利。术中操作规范、精细,出血量控制在5毫升以内。患者生命体征稳定,术后恢复情况良好,无声音嘶哑,无饮水呛咳,无手足麻木,目前已经康复出院。

第一场雪中的坚守:以安全为先,持续提升诊疗能力
当日,兰州迎来今冬第一场降雪。窗外雪落静谧,手术室内秩序井然。这台手术的顺利完成,是甘肃省第三人民医院坚持以患者为中心、强化多学科协作和围术期精细化管理的具体体现。
下一步,该医院将持续完善多学科协作机制,不断提升复杂疾病诊疗能力和医疗质量安全水平,为人民群众提供更加安全、规范、优质的医疗服务。
◆编辑:吴玉珍◆二审:郑沛锋◆三审:周亚平




